La Radiología Intervencionista es una subespecialidad médica avanzada que permite diagnosticar y tratar múltiples enfermedades mediante procedimientos mínimamente invasivos, guiados por técnicas de imagen como la ecografía, la tomografía computarizada (TAC) o la fluoroscopia.
A diferencia de la cirugía tradicional, la radiología intervencionista utiliza pequeñas incisiones o accesos percutáneos para realizar tratamientos precisos desde el interior del cuerpo, con menor agresión, menos dolor postoperatorio y una recuperación más rápida. Por ello, se ha convertido en una alternativa segura y eficaz en muchas patologías vasculares, oncológicas y digestivas, entre otras.
En Vithas, estos procedimientos se realizan con tecnología de última generación y por equipos altamente especializados, garantizando máxima precisión, seguridad y confort para el paciente.
Patologías que trata la Radiología Intervencionista
- Esta subespecialidad abarca un amplio número de tratamientos dirigidos, tanto diagnósticos como terapéuticos, entre los que destacan:
- Enfermedades vasculares (estenosis, trombosis, aneurismas)
- Varices pélvicas y embolización vascular
- Miomas uterinos tratados mediante embolización
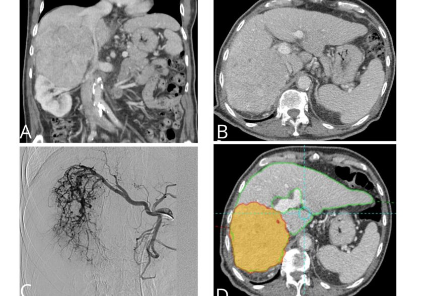
- Tumores hepáticos y otras lesiones oncológicas tratadas con técnicas locorregionales
- Drenajes de colecciones o abscesos internos
- Biopsias guiadas por imagen para diagnóstico preciso
- Tratamiento del dolor vertebral (vertebroplastia)
- Colocación de catéteres, accesos venosos o filtros vasculares
- Control de hemorragias internas mediante embolización urgente
Tratamientos y procedimientos más frecuentes
Los procedimientos de radiología intervencionista se realizan habitualmente sin cirugía abierta, con anestesia local o sedación, y permiten tratar de forma eficaz múltiples procesos:
- Embolización de tumores, miomas o sangrados
- Angioplastia y colocación de stents vasculares
- Ablación de lesiones tumorales (radiofrecuencia o microondas)
- Biopsias y punciones diagnósticas de alta precisión
- Drenajes percutáneos guiados por imagen
- Procedimientos paliativos para control del dolor o complicaciones oncológicas
El objetivo es ofrecer tratamientos eficaces con el menor impacto posible sobre el paciente, reduciendo estancias hospitalarias y favoreciendo una recuperación más rápida.
¿Cuándo acudir a consulta?
Es recomendable acudir a Radiología Intervencionista cuando:
- Se busca una alternativa mínimamente invasiva a una cirugía convencional
- Existen patologías vasculares que requieren tratamiento dirigido
- Es necesario realizar una biopsia interna con máxima precisión
- Se requieren drenajes o tratamientos guiados por imagen
- Hay tumores que pueden beneficiarse de técnicas locorregionales
- Se presentan hemorragias internas que necesitan tratamiento urgente
- El especialista deriva al paciente para procedimientos avanzados de apoyo diagnóstico o terapéutico
En Vithas, el paciente recibe una valoración personalizada y un plan terapéutico adaptado, integrando la radiología intervencionista dentro de un abordaje multidisciplinar para lograr la mejor opción diagnóstica y de tratamiento.

